Seyed Sadjad Abedi-Shahri

Seyed Sadjad Abedi-Shahri

Assistant Professor of Biomedical Engineering

Faculty of Engineering, University of Isfahan

Biography

Sadjad is an Assistant Professor of Biomedical Engineering in the Faculty of Engineering at University of Isfahan, a position he has held since 2025 after serving as an adjunct lecturer at Sahand University of Technology from 2022 to 2025. His research interests encompass Numerical Methods in Biomechanics (FEM, SBFEM, and more), Scientific Computation, Trauma Biomechanics, and Computational Geometry. With a strong background in both theoretical development and practical implementation, he has developed several research software tools in the fields of numerical methods and computational geometry. Through his work, Sadjad aims to contribute to the development of innovative computational methods that advance our understanding of biomechanics and enable practical solutions to real-world problems.

Education
  • PhD in Biomedical Engineering - Biomechanics, 2019-2024

    Sahand University of Technology

  • MSc in Biomedical Engineering - Biomechanics, 2016-2019

    Sahand University of Technology

  • BSc in Mechanical Engineering, 2011-2015

    University of Birjand

Skills

programming
Python Python
Fortran Fortran
Octave Octave/Matlab
Git Git
CAD-CAE
Abaqus Abaqus
Catia Catia
Rhino GH
LS-Dyna
Other utilities
3D Slicer
MeshMixer
Latex LaTeX

Recent Posts

Exploring Boolean Operations in SDFs: Union, Difference, and Intersection
In our previous explorations of Signed Distance Functions (SDFs), we unveiled their power in representing and manipulating geometric shapes. We also delved into the intricacies of SDFs for lines and rectangles. Now, let’s unlock the potential of Boolean operations on SDFs, enabling the creation of even more complex shapes.
Exploring Boolean Operations in SDFs: Union, Difference, and Intersection
Mathematics of 2D Shapes: Line and Rectangle SDFs Unveiled
In our previous exploration of Signed Distance Functions (SDFs), we demystified their role in representing and manipulating geometric shapes. Now, let’s delve deeper into the mathematical intricacies of SDFs, focusing specifically on lines and rectangles in 2D geometry.

Projects

*
Advanced Scaled Boundary Finite Element Framework for Complex and Biological Materials
A unified, boundary-only SBFEM framework for nonlinear, viscoelastic, and anisotropic materials with direct applications in computational biomechanics.
Advanced Scaled Boundary Finite Element Framework for Complex and Biological Materials
pyPolyMesher: Polygonal mesh generator
pyPolyMesher is a Python library for polygonal mesh generation using signed distance functions.
pyPolyMesher: Polygonal mesh generator
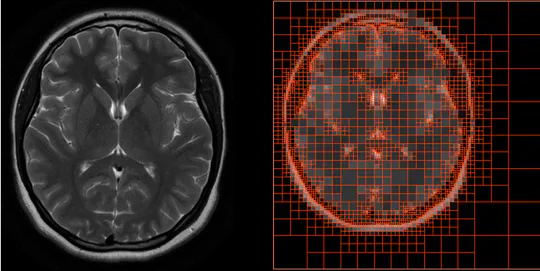
QTREEMESH: Generating QuadTree Mesh from Images
QTREEMESH is a Python package designed for the creation of Quadtree structures from images, offering powerful spatial data organization.
QTREEMESH: Generating QuadTree Mesh from Images

Recent Publications

Quickly discover relevant content by filtering publications.
(2025). Neural Network-Based Inverse Model for Non-Invasive Estimation of Corneal Mechanical Properties. In ReSIST2024.

PDF Cite

(2024). NL-SBFEM: A pure SBFEM formulation for geometrically and materially nonlinear problems. Engineering Analysis with Boundary Elements.

PDF Cite Project DOI

(2022). A Scaled Boundary Finite Element Formulation for Solving Plane-Strain Viscoelastic Problems. European Journal of Mechanics - A/Solids.

PDF Cite Project DOI

Recent & Upcoming Talks

Contact

I’m excited to connect with you! For inquiries, collaborations, or just a friendly chat, please feel free to reach out via email or Skype. Your messages are important, and I look forward to hearing from you!